Har skuldra blitt god?

Dere er sikkert lei av å høre om skuldra og jeg er lei av skuldra men her er hvertfall en oppdatring på den fronten. Nå er det over 7 uker siden jeg falt på sykkelen på vei til jobb og traff asfalten hardt med skuldra. Det var naturlig nok ikke spesielt moro og tiden i etterkant har vært frustrerende siden det har vært begrensende for hva jeg har kunnet gjøre og ikke gjøre. Svømmingen ble spesielt skadelidende men hverdagsaktiviteter har også måtte begrenses.

Heldigvis har det vært fremgang hele veien og det har blitt bedre hver dag. For 2 uker siden hadde jeg min første ”normale” svømmeøkt der jeg svømte crawl med begge armene. Det var noe sporadisk smerter forbundet med det, men veldig lite og 4000 meter med svømmeføtter (for å avlaste armene litt) gikk helt greit. Etter det har det blitt flere gode svømmeøkter der det har vært stor fremgang i den forferdelig rustne svømmeformen. Bare for å få bekreftet min mistanke om at det kun er noe mindre betennelse igjen og at det ikke var noe annet galt så fikk jeg dratt innom Aleris Oslo for en MR-undersøkelse. Dette var noe min kiropraktor Kristian og fysioterapeut Jørn Erik hos Klinikk for Alle ønsket hele veien men med ukependling til Stavanger og en veldig tettpakket plan før og etter Ironman Sør-Afrika så tok var drøye 5 uker etterpå det første jeg fikk til.

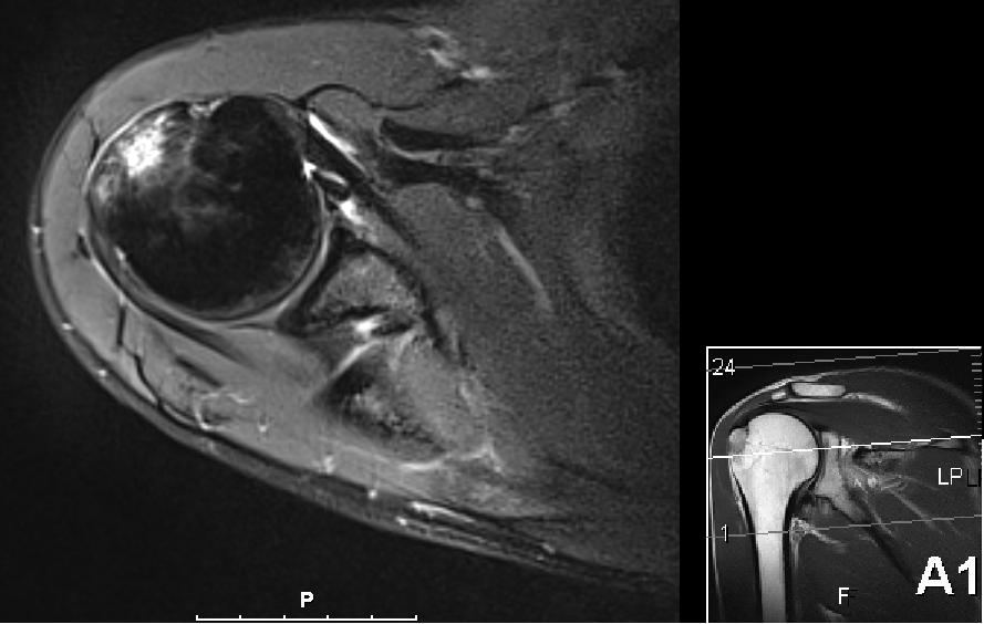
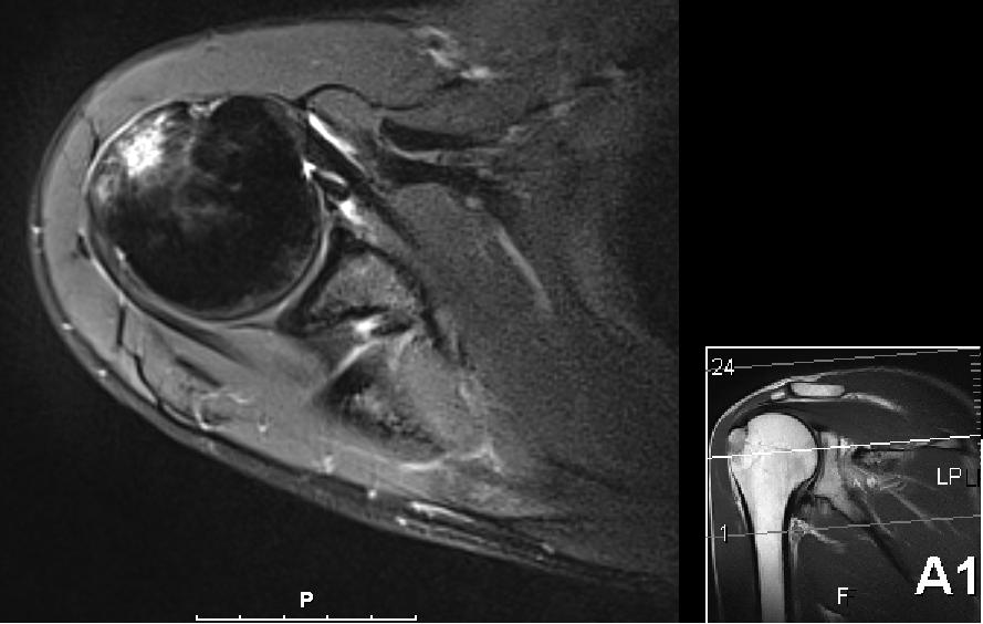
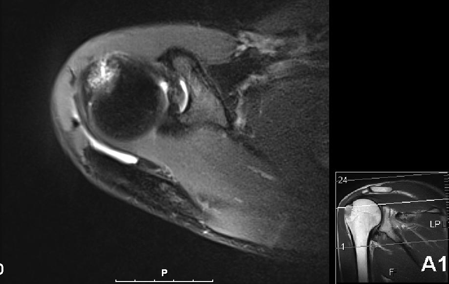
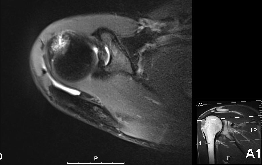
I forrige uke kom uansett svaret og resultatet var ikke akkurat helt som forventet. Nå var det riktig nok noe betennelse (aka bursitt) i skuldra som forventet men det var også et brudd i kanten på skuldra, såkalt tuberculum majos fracture på 2 x 2 cm. Så Kristian og Jørn Erik var rimelig overrasket over at jeg meldt tilbake at svømmingen gikk så bra.

tuberculum_majus_atlas_with_watermark_yyfUdhUrvemrYqfWNa68XgDet er den grønne delen av skulderbeinet som har fått seg en trøkk

Hvor veien går videre herfra får vi ta en fortløpende vurdering på. Hvile av skuldra er oppskriften på hvordan å få bruddet til å gro skikkelig, men det er ikke like lett å gi skuldra fullstendig hvile uten at jeg tar helt treningsfri eller andre aktiviteter som belaster skuldra. Nå er det viktig å la bruddet gro skikkelig men jeg ønsker selvsagt å beholde formen (hvertfall på sykkel og løp) og tror det er mulig å finne en balansegang der skuldra belastes minimalt samtidig som jeg får trent det meste foruten om svømming med høyrearmen. Det er nemlig bevegelsen der jeg løfter armen over hodet som i hovedsak belaster bruddet. Selv om hvile er nøkkelordet så har jeg tro på at det er viktig å holde muskulaturen i området i bevegelse og prøve å styrke den med øvelser som ikke belaster bruddet.

Nå er det bare 6 dager til Ironman 70.3 Mallorca, og som alltid så ønsker jeg selvsagt å delta, men forstår at det kanskje ikke er det mest fornuftige. Om noen av dere har erfaringer eller gode råd/tips så tas de i mot med stor takk! Nå forstår jeg at radiolog er et eget yrke og tolking av MR-bilder krever mye erfaring og kunnskap, men jeg syntes ikke det ser såååå ille ut egentlig.

Skulderbilde
Allan - Skulder ovenfra 2
Allan - Skulder ovenfra 3

2015-04-30 18.47.49Fysioterapeuten min Jørn Erik Strand hos Klinikk for Alle i Bjørvika viser hvilke øvelser og bevegelser som er ok, og hvilke som ikke er det. Denne er på no-go-listen. 

Publisert av

Ukjent sin avatar

triallan

I am a 33 year old PRO triatlete. My goal is to swim, bike and run as fast as possible, and enjoy the journey. All my adventures and triathlon related stuff is well documented on this blog.

2 kommentarer til “Har skuldra blitt god?

  1. Jeg hadde samme brudd for tre år siden etter fall på ski. Brakk riktignok av en litt større skalk enn det du gjorde – og det satt i lenge. Jeg slet med å ligge i tempobøylen og i bukken på landeveissykkelen en stund utover sommeren (bruddet skjedde omtrent 1. april). Jeg drev ikke med triatlon på den tiden, så kan ikke si så mye om hvordan svømmingen var.

    Jeg hadde uansett vondt lenge – og staking på rulleski (som jeg drev mye med da) var umulig den sommeren/høsten. Jeg var påmeldt mange skirenn den kommende vinteren, men regnet med at det dermed kom til å gå fløyten. Det skjedde ikke, for da snøen kom fikk jeg en veldig positiv overraskelse! Med en gang jeg begynte å gå klassisk langrenn på snø, vanlig diagonalgang, så slapp smertene taket. Noen skiturer, og jeg følte meg helt fin. Det var helt utrolig hvor effektivt det var – det funka mye bedre enn allslags styrkeøvelser jeg hadde fått av fysioen.

    Jeg vet at du ikke går særlig mye på ski, at du ikke har tid til det og at det uansett er lite snø å oppsøke nå. Men det finnes kanskje noe å ta med seg: nemlig de rolige bevegelsene som diagonal stavgang gir. Kanskje noen løpeøkter med staver i motbakke f eks kan være noe å anbefale? Jeg ville gitt det en sjanse. Om det ikke skulle hjelpe på din skulder, er det jo uansett veldig god og effektiv o2-trening.

    God bedring, lykke til videre i sesongen og så ses vi på IM Haugesund og NXTRI 🙂

  2. Hei,

    Har fått en veldig lik skade som du beskriver her. Også fått en tuberculum majos fracture etter fall. Fikk det ikke påvist før etter 3 uker ved MR, til både fysio og leges overraskelse (begge trodde de det var noe seneskade). Som han som kommenterte over så har langrenn fungert overaskende bra (gikk totalt 150km i ukene etter at jeg skadet skulderen før jeg fant ut at den var brukket).

    Lurte på om du hadde noen komplikasjoner utover bruddet, noe seneskader eller noe slik som skapte problemer etter at bruddet hadde «grodd ferdig»? Eventuelt noen tips angående rehabilitering?

Legg igjen en kommentar